Acquisire, Analizzare, Archiviare.
In soli tre click.
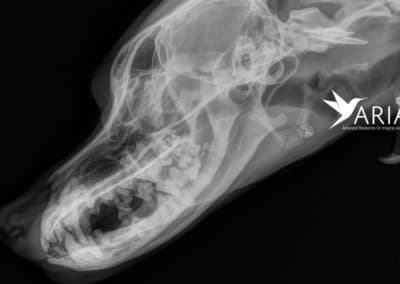
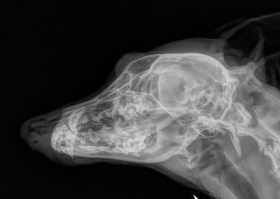
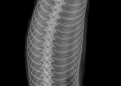
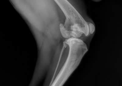
ARIA è un software intelligente e flessibile, che aiuta il veterinario ad acquisire immagini di alta qualità per poterle visionare con la necessaria chiarezza in pochi secondi, in modo da rendere più precisa e tempestiva la diagnosi.
Aria si evolve e cresce.
Come si desidera.
Un Sistema completo di
Strumenti e Programmi.
Aria fornisce una suite di strumenti per migliorare il flusso di lavoro delle cliniche, assicurando diagnosi più accurate e garantendo un’attenzione costante.
I vantaggi di Aria.
Specifici, Concreti, Immediati
Le immagini sono più nitide, i dati sono disponibili subito. Diagnosi più accurate e più tempestive.
Le procedure si snelliscono, i tempi di attesa si riducono. Migliorano produttività ed efficienza.
Il sistema è accessibile ovunque in qualsiasi momento. Reporting e consultazione diventano rapidi e omogenei.
Si evitano imprecisioni e ripetizioni negli esami. Aumenta il tempo da dedicare alla relazione con il cliente.
Si può configurare o modificare secondo le proprie necessità. Non ci sono costi inutili di sovradimensionamento.
Servizi offerti
“Benvenuti, leader nel settore veterinario nel Canton Ticino. Offriamo soluzioni personalizzate e servizi completi per radiologia, strumentazioni e consumabili, sempre allineati alle normative federali UFSP e Swissmedic.”
“Con sede in Ticino (Mendrisio/Rancate), siamo il vostro partner affidabile per innovazione e sicurezza
Radiologia Veterinaria (certificazione UFSP)
Vendita, assistenza, certificazione e test periodici per sistemi radiologici a basse e medie emissioni
Strumentazioni Veterinarie
Fornitura e manutenzione di attrezzature veterinarie moderne e tecnologicamente avanzate per ambiente clinico, garantendo supporto tecnico dedicato
Sterilizzazione
Progettazione e assistenza per sale di sterilizzazione in ambito veterinario, medico e odontoiatrico; leader nel settore della sterilizzazione
Compressori e Sistemi di Aspirazione
Vendita e manutenzione di sistemi efficienti per il funzionamento quotidiano delle strutture veterinario-sanitarie
Tavolo Operatorio Idraulico
Tavolo operatorio inox regolabile, con piano inclinabile, vasca centrale e altezza variabile tramite sistema idraulico.
Riunito dentale carrellato
Riunito dentale carrellato con LED, strumenti integrati, comandi a pedale; ideale per trattamenti dentali, facile da usare.
Contattaci per maggior informazione…
Tel. +41 (0) 91 222 82 60
Richiesta informazioni.
Il tuo partner per radiologia veterinaria, dispositivi medici e materiali consumabili
+41 (0) 91 222 82 60
info[at]sterilexpert.ch
Via Sacerdote G. Caroni 2 6862 Rancate (CH)
Studiamo la migliore soluzione per le tue necessitá
Installiamo ogni tuo acquisto e certifichiamo il funzionamento
Assistiamo tecnicamente tutti i tuoi dispositivi
+41 (0) 91 222 82 60
info[at]sterilexpert.ch
© 2024 SET – Steril Expert Ticino
Via Sacerdote G. Caroni 2 – 6862 Rancate (CH)
Privacy – Data Protection

